Τραυματιολογία, κατάγματα πάσης φύσεως

Η χειρουργική αποκατάσταση τραυμάτων και καταγμάτων είναι μια από τις πιο συχνές επεμβάσεις στην ορθοπεδική χειρουργική. Παρά τις συντηρητικές
μεθόδους όπως η ακινητοποίηση με γύψο ή νάρθηκα, σε περιπτώσεις σοβαρών ή σύνθετων καταγμάτων, η χειρουργική επέμβαση είναι απαραίτητη για την
αποκατάσταση της δομής και της λειτουργίας του οστού.

Τεχνικές και Προσεγγίσεις

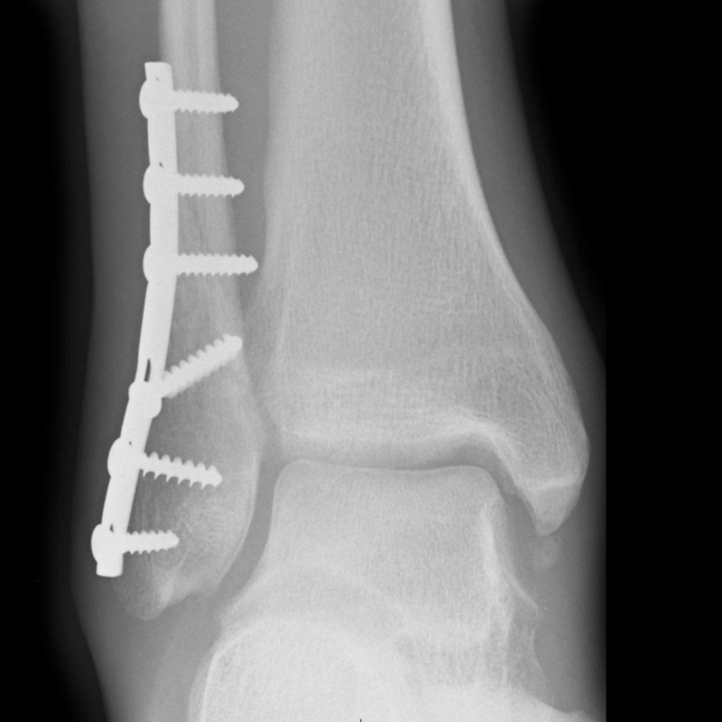
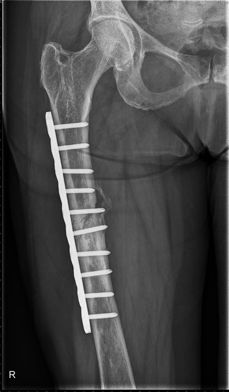
  • Εσωτερική Σταθεροποίηση (Οστεοσύνθεση): Αυτή η μέθοδος περιλαμβάνει την τοποθέτηση μεταλλικών πλακών, βιδών ή ράβδων για να
    σταθεροποιηθεί το κάταγμα εσωτερικά. Η ακριβής ευθυγράμμιση των οστών επιτρέπει την ταχύτερη και πιο σταθερή επούλωση.
  • Εξωτερική ΣταθεροποίησηΧρησιμοποιείται σε περιπτώσεις σοβαρών τραυματισμών ή όταν υπάρχει κίνδυνος μόλυνσης. Οι μεταλλικές ράβδοι
    τοποθετούνται εξωτερικά και συνδέονται με καρφιά ή βίδες που περνούν μέσα από το δέρμα και τα οστά.
  • Ανακατασκευή Αρθρώσεων: Σε περιπτώσεις καταγμάτων κοντά σε αρθρώσεις, μπορεί να απαιτείται ανακατασκευή της άρθρωσης για την
    αποκατάσταση της λειτουργικότητάς της.

Διαδικασία και Ανάκαμψη

Η χειρουργική επέμβαση για την αποκατάσταση καταγμάτων απαιτεί γενική ή τοπική αναισθησία, ανάλογα με την έκταση του τραυματισμού. Μετά την
επέμβαση, οι ασθενείς παρακολουθούνται στενά για τυχόν επιπλοκές, όπως μόλυνση ή θρόμβωση. Η φυσικοθεραπεία είναι κρίσιμη για την αποκατάσταση
της κινητικότητας και της δύναμης του τραυματισμένου μέλους.

Κάταγμα
Κάταγμα
Αποκατασταση γονάτου
Κάταγμα